Contourage en radiothérapie
Les logiciels d’IA peinent encore à s’accorder sur les contours du cœur
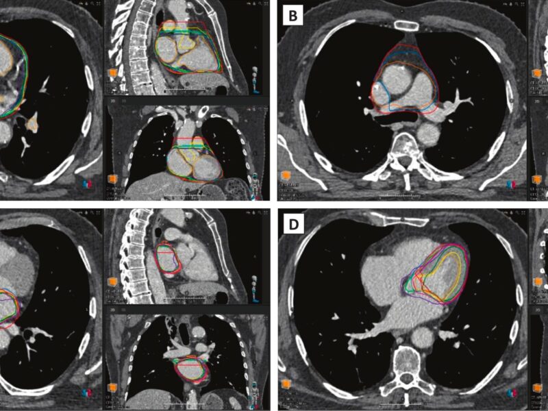
Des chercheurs de l'Institut de cancérologie de l’ouest, à Saint-Herblain, ont évalué onze solutions d’auto-contourage en imagerie cardiaque. Selon eux, une harmonisation des règles de contouring et la ...
Publié le 06/03/2026
