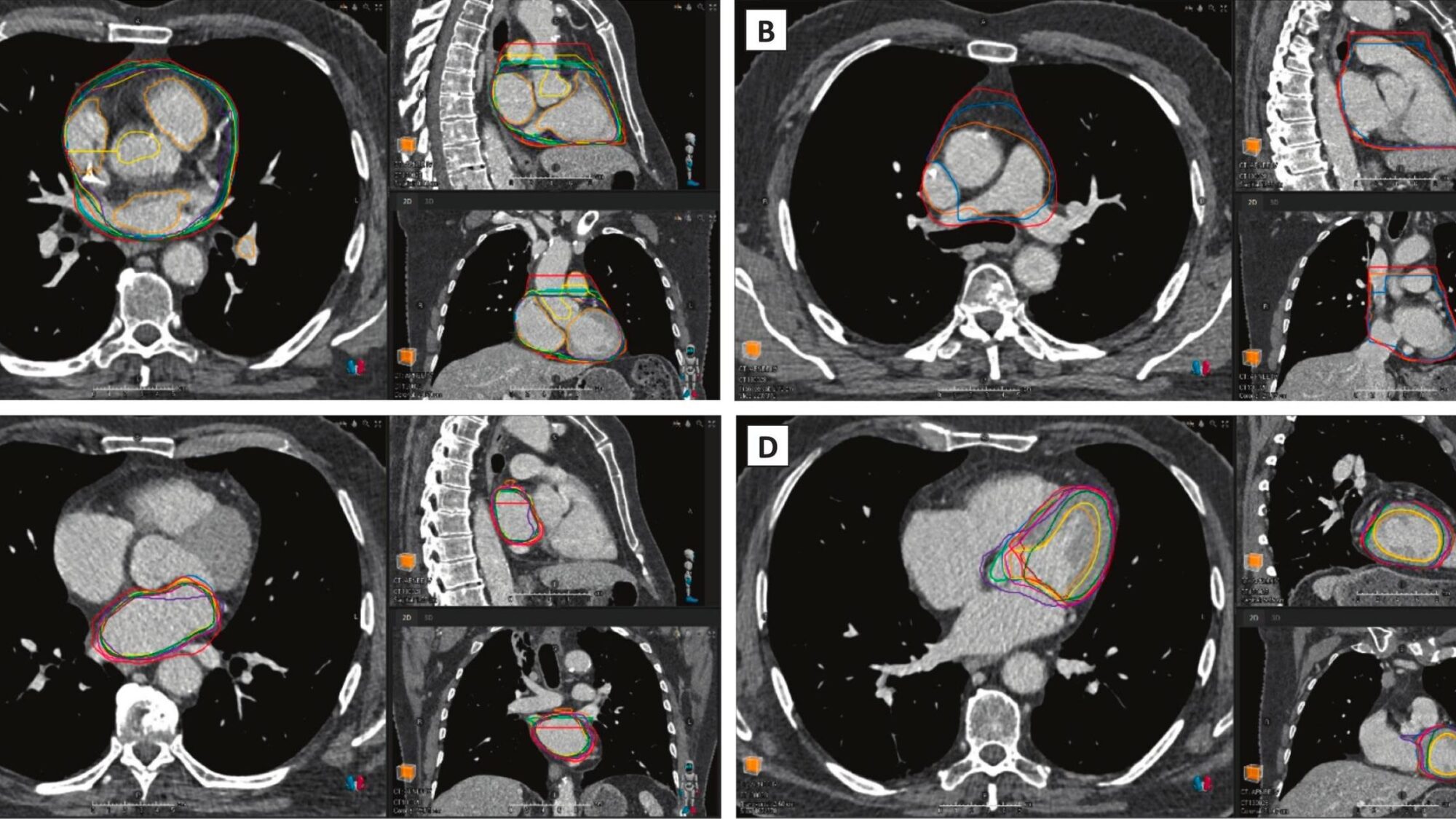
En radiothérapie, les outils de contouring basés sur l’intelligence artificielle permettent de délimiter automatiquement les organes sur les examens de scanner. Ces outils promettent une évaluation des doses reçues par les structures cardiaques, au-delà de la dose cardiaque moyenne. Une étude parue dans la revue phiRO [1] et réalisée par des chercheurs du département d’oncologie radiothérapeutique de l'Institut de cancérologie de l’ouest, à Saint-Herblain (44), a analysé les variations des contours du cœur selon les logiciels utilisés et évalué l’impact de l’absence de contraste sur la performance du contouring pour chaque solution. « Cette étude ne visait pas à classer les solutions [...] mais plutôt à fournir un retour sur les variations observées, qui pourraient guider les améliorations futures du modèle », précisent les auteurs dans leur article.
Onze solutions d’auto-contourage évaluées
Les chercheurs ont comparé onze solutions d’auto-contourage basées sur l’IA, sept commerciales, t

Discussion
Aucun commentaire
Commenter cet article