Radiopédiatrie

Une étude évalue les capacités des MERM à détecter des fractures au scanner basse dose

Des chercheurs australiens ont évalué l'aptitude des MERM à identifier des fractures sur un fantôme pédiatrique en scanner basse dose. Les participants ont bien détectées celles du crâne et du tibia, moins bien les autres.

icon réservé aux abonnésArticle réservé aux abonnés
Le 20/02/26 à 7:00, mise à jour le 26/02/26 à 9:25 Lecture 2 min.

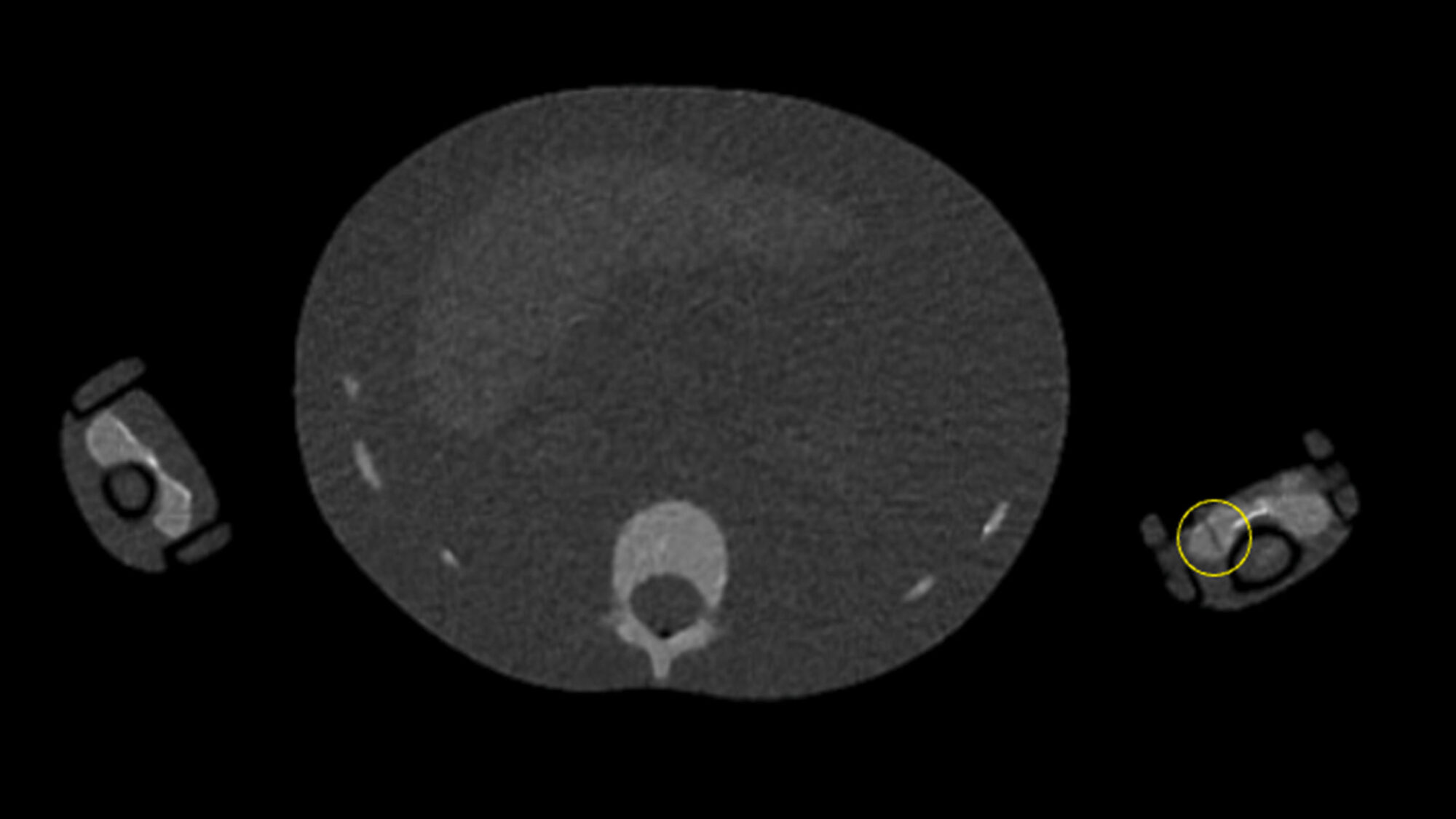
Les 18 MERM de l'étude avaient pour tâche d'identifier les fractures sur un fantôme pédiatrique avec sept sites de fractures (crâne, omoplate gauche, cinquième côte gauche, coude gauche, poignet gauche, fémur gauche, tibia gauche). © E. Doyle et coll. / Radiography 2026 - Elsevier/ CC BY 4.0

En Australie, des chercheurs de l’université Monash à Melbourne ont réalisé une étude pour évaluer les capacités des manipulateurs radio à détecter des fractures sur un fantôme pédiatrique au scanner, dans un contexte de suspicion de maltraitrance physique. Pour ces travaux, publiés dans la revue Radiography au mois de janvier, ils ont collecté neuf ensembles de données de scanner basse dose examinés par 18 manipulateurs radio [1].

Cinq ans et sept sites de fractures

Les MERM avaient pour tâche de marquer les fractures à l'aide d'un logiciel de visualisation d'images. Le fantôme utilisé reproduisait le corps d’un enfant de 5 ans avec sept sites de fractures (crâne, omoplate gauche, cinquième côte gauche, coude gauche, poignet gauche, fémur gauche, tibia gauche). Tous les manipulateurs radio de l’étude avaient plus de 10 ans d'expérience, et 67 % d'entre eux travaillaient dans le domaine de l'imagerie pédiatrique.

Sensibilité globale de 60 %

Dans leur analyse, les auteurs rapportent qu’aucu

Il vous reste 71% de l’article à lire

Tech Imago réserve cet article à ses abonnés

S'abonner à l'édition
  • Tous les contenus « abonnés » en illimité
  • Le journal numérique en avant-première
  • Newsletters exclusives, club abonnés

Abonnez-vous !

Tech Imago en illimité sur desktop, tablette, smartphone, une offre 100% numérique

Offre découverte

1€

pendant 1 mois
puis 13 €/mois

S’abonner à Tech Imago

Auteurs

Carla Ferrand

Journaliste cheffe de rubrique

Déclaration des liens d'intérêts

Bibliographie

  1. Doyle E, Dipnall JF, Dimmock MR, et al (2026) Fracture detection using a low-dose computed tomography paediatric bone fracture phantom: A multi-reader study of radiographers. Radiography 32:103333. https://doi.org/10.1016/j.radi.2026.103333.

Discussion

Aucun commentaire

Laisser un commentaire

Le fil Tech Imago

09 Mar

14:56

Le [68Ga]Ga-HTK03149 est un radiopharmaceutique ciblant la PSMA avec une biodistribution et une dosimétrie de rayonnement comparables à celles des radiotraceurs TEP existants pour le cancer de la prostate, conclut une première évaluation sur l'humain, présentée dans JNM.

7:30

Une étude italienne présentée à l'ECR 2026 met en lumière des disparités importantes entre professionnels de santé en matière de connaissances sur la sécurité des IRM. Si les radiologues font preuve de la plus grande compétence, des idées fausses persistent dans toutes les catégories, soulignant la nécessité de mettre en place des initiatives éducatives ciblées, indiquent les chercheurs.
06 Mar

13:45

Une étude parue dans Academic Radiology montre que l’IRM hépatique à 5,0 T avec une demi-dose d’acide gadoxétique offre une qualité d’image supérieure ou équivalente à l’IRM à 3,0 T tout en permettant une réduction de 25 % du temps d’acquisition et en atténuant les artefacts de mouvement.

7:35

Le 7 novembre 2025, l’Institut Curie à Paris a signalé à l’ASNR une erreur de recopiage d’un facteur d’étalonnage en radiothérapie externe, ayant entraîné une surexposition moyenne de 1,8 % pour 150 patients, sans dépasser 5 % et sans impact sur la qualité des traitements. L'événement a été classé niveau 1 de l’échelle ASN-SFRO des événements en radiothérapie, graduée de 0 à 7 par ordre croissant de gravité.
Tech Imago

GRATUIT
VOIR